Veterinarians are used to dealing with sick animals. In fact, the vast majority of their daily routines usually involves patching up dogs and cleaning out kitty ears. There isn’t a lot that shocks them, really. Even wild animals like wolves, bears, and eagles sometimes need a doctor’s care before they can return to the wild. And though they’re not typical patients, seasoned veterinarians have no problem treating them. After all, a sick animal is a sick animal.
Still, one Israeli veterinary team sure got the shock of a lifetime when a parks department official knocked on their door and left a rather unusual—and dangerous—wounded animal in their care. They were nervous, but they knew they had to do the right thing…
During a routine patrol, Israeli soldiers noticed a rather unusual sight: two people walking a striped hyena. They didn’t approach the pair right away. After all, hyenas are dangerous wild creatures. But they realized that something seemed… off… with the animal, and so they decided to intervene.
As they approached the pair, the officers immediately knew something wasn’t quite right with the hyena. Once they were close enough to really inspect the scene, they learned that the animal—which is considered endangered—was being held in metal chains under harsh conditions. It was clearly suffering.
The abuse did not stop with the chains, either. Upon closer examination they discovered that the poor striped hyena was starving and dehydrated. He did not even have the strength to resist their ministrations.
The soldiers alerted the Israel Nature and Parks Authority, which quickly dispatched a veterinarian to the scene. The vet managed to stabilize the hyena’s condition, but there was only so much that could be done on-site.
The hyena was quickly sedated so that he would be comfortable and his stress levels could be kept to a minimum. It would also make him easier to work with. Once sedated, he was transferred to an animal hospital where he could receive urgent care
The veterinarians continued trying to stabilize the poor hyena’s condition as they ran multiple tests to uncover the full scope of his injuries. While they could identify all of the external injuries from a quick examination, they had no idea what was happening inside the poor creature.
Soon, though, they would learn what was wrong. The vets discovered numerous bruises all over the hyena’s body. They had no concrete evidence how the bruises were caused, but they suspected that the hyena had been beaten and abused by whoever captured him.
The bruises were far from the hyena’s only injuries. He had suffered several broken teeth as well. Some of his teeth were even split right down to the root. He must have been in excruciating pain every second of every day!
The restraints used by his abusers had made it impossible for the hyena to protect his eyes from dust and debris. Sometime during his time in cruel captivity, grit or another foreign object made its way into his eye, cutting it and causing it to become infected.
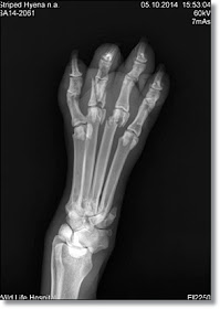
Finally, the rest of the hyena’s test results were back. The X-rays showed extensive broken bones throughout the creature’s body. He had very clearly been badly beaten, either during his capture or during his time in captivity.
The worst of his injuries was a badly broken front leg and paw. The veterinarian treating the hyena said that the break looked as though he had gotten his paw caught in a massive trap; if this was true, it would make sense, seeing as that’s mostly likely the easiest way his captors would’ve been able to apprehend him.
The hyena was badly dehydrated, and if he was going to stand any chance of getting well, that would need to change! The team working at the animal hospital quickly provided him with food and water through an IV. They also showed him some affection through reassuring pats and head scratches to keep him calm.
Although the team was initially concerned that their new charge would not pull through, this hyena was determined not to go anywhere! It was clear that he was a survivor and a fighter, and he had the spirit necessary to power through even this.
The vets named him Amos, and before long, he was one of their favorite animals. He might not have been as tame or as friendly as some of their other patients, but he won them over with his dignity and resilience.
The team worked quickly to treat Amos’s injuries to the best of their ability while he was still under anesthesia. They couldn’t help but be overwhelmed by what a gorgeous specimen this remarkable hyena was. He truly was special.












